What do you do when your surgeon believes you’re already beautiful?
This is one of the most nuanced challenges in facial implant surgery, especially with jaw implants and patient-specific facial implants. It’s not about creating beauty—it’s about refining perception.
The Subtle Reality of Facial Asymmetry
Almost every face has some degree of asymmetry. In most cases, it goes completely unnoticed.
But in certain patients—especially those who are already highly attractive—small differences can feel significant.
In this case, the patient presented with:
- Facial asymmetry
- A naturally attractive facial structure
- A concern that most people would never consciously detect
From a clinical perspective, her asymmetry was real—but subtle.
From a social perspective, she was already perceived as balanced and beautiful.
The “Good Side” Problem
In facial aesthetics, there is often what surgeons informally refer to as the “good side.”
This is the side that is:
- More structurally balanced
- More projected or defined
- Closer to anatomical ideals
In this patient’s case, her right side was objectively stronger from an anatomical standpoint.
Naturally, the initial approach was straightforward:
Use custom facial implants to bring the weaker side up to match the stronger side.
This is the standard strategy in facial asymmetry correction.
When Anatomy and Preference Don’t Align
Here’s where the case became more interesting.
The patient preferred her left side—the side that was, anatomically speaking, less ideal.
This is not uncommon.
Patients don’t see themselves through measurements or CT scans.
They see themselves through:
- photographs
- angles they are used to
- personal identity
And sometimes, what surgeons consider the “better” side is not the side the patient connects with.

Rethinking the Surgical Plan
Once the patient’s preference became clear, the entire approach had to change.
Instead of:
Enhancing the weaker side to match the stronger side
We shifted to:
Preserving the preferred side and adjusting the other side to harmonize with it
This required:
- A complete redesign of the implant
- Re-evaluation of projection and contour
- A more conservative and strategic enhancement
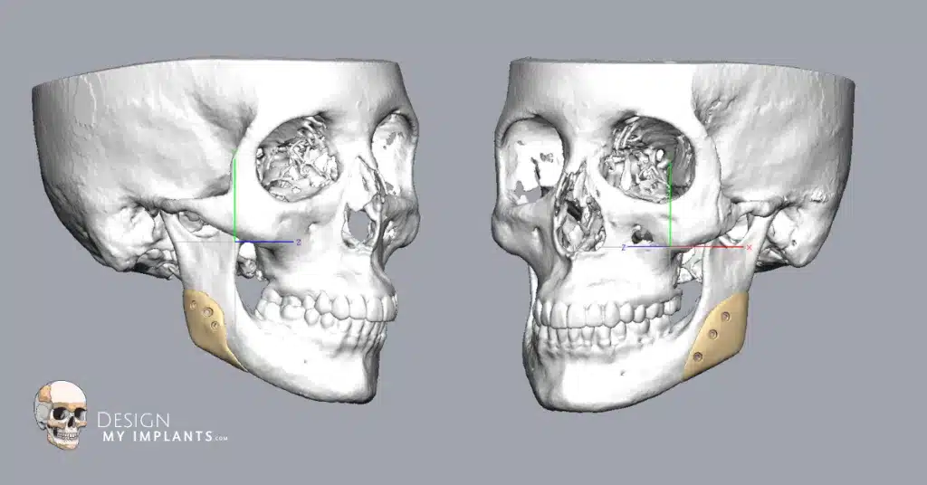
The Role of Custom Jaw Implants
This is where custom Jaw implants become essential.
Unlike standard implants, which force the anatomy to adapt, patient-specific implants allow us to:
- Design asymmetrically when needed
- Control subtle differences in projection
- Respect patient preference—not just anatomical norms
In this case, the solution was not dramatic.
It was precise.
The Final Strategy
To achieve balance while honoring the patient’s preference:
- The left side (preferred side) was subtlely altered
- The right side was enhanced with slight vertical height and contour adjustment
- The goal was harmony, not exact symmetry
This is an important distinction.
Perfect symmetry is not always the goal—
natural balance is.

The Outcome: Where Experience Meets Personal Identity
The final result reflects something deeper than technical execution.
It represents the intersection of:
- surgical experience
- anatomical understanding
- advanced implant design
- and most importantly, patient preference
In facial implant surgery, especially with custom-designed implants, success is not defined by measurements alone.
It is defined by alignment between:
- what the surgeon sees
- what the patient feels
- and what the world perceives
The Bigger Takeaway for Facial Implant Surgery
This case highlights an important principle in modern facial contouring and implant design:
The best result is not always the most “correct” one—
it’s the one that feels right to the patient while remaining structurally sound.
Today we are no longer limited to standard shapes or one-size-fits-all solutions.
We can:
- design for asymmetry
- design for preference
- design for identity
Final Thought
In the end, this wasn’t about making a beautiful patient “more beautiful.”
It was about:
- refining balance
- respecting perception
- and using technology to translate preference into reality
That is the true power of our DMI custom facial implants.


