Some cases stay with you—not because they are the most dramatic, but because they are the most meaningful.
This was one of them.
She came in with something many patients quietly carry:
a facial asymmetry centered around the chin that affected not just her appearance, but how she felt about herself.
To most people, it wasn’t obvious.
To her, it was everything.
When the Chin Defines the Face
The chin is often underestimated in facial aesthetics.
But in reality, it plays a critical role in:
- facial symmetry
- jawline definition
- profile balance
- overall harmony of the lower face
Even small irregularities in the chin can:
- shift the perception of the entire face
- disrupt balance between features
- affect confidence in a very real way
She didn’t want to look different.
She wanted to feel aligned.
The First Decision: How Do We Create Symmetry?
Correcting chin asymmetry isn’t as simple as “making both sides equal.”
It requires a deeper question:
What approach will create the best long-term result?
There are typically two options:
- Osteotomy (genioplasty): repositioning the bone
- Custom chin implant: adding volume in a precise, controlled way
Each has its place.
In her case, the best path forward was clear:
A custom chin implant offered the precision, control, and predictability we needed.

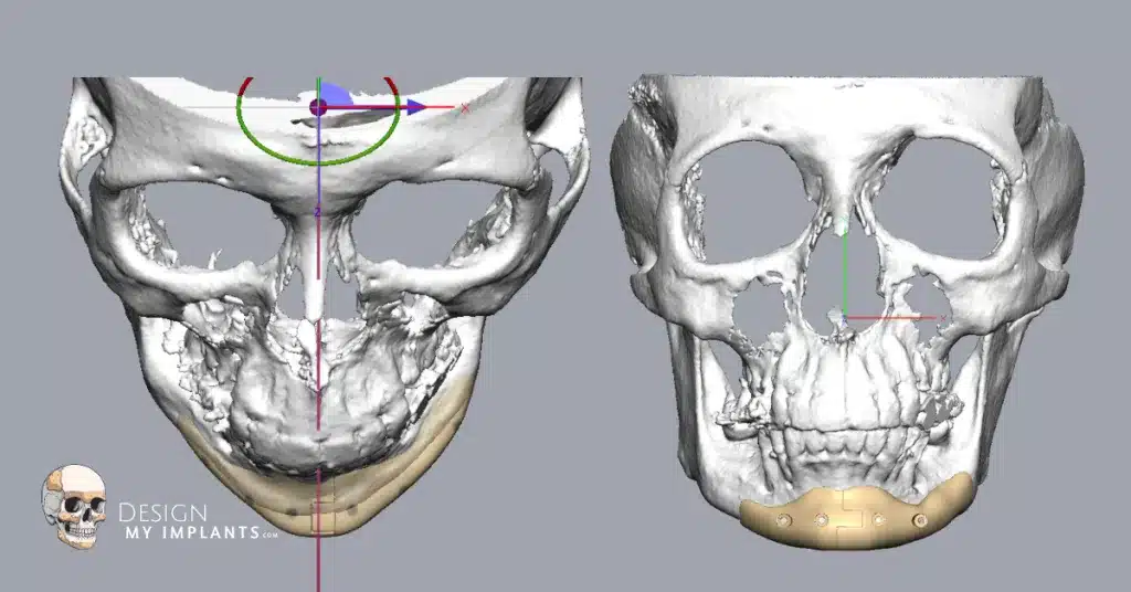
Why a Custom Chin Implant Was the Right Choice
Standard implants wouldn’t have worked.
This wasn’t just about projection—it was about asymmetry correction and contour refinement.
With a patient-specific chin implant, we were able to:
- correct left-to-right asymmetry
- control vertical and horizontal dimensions
- refine the transition into the jawline
- improve her side profile simultaneously
This is where custom design changes everything.
The Second Decision: How Much Projection Is Enough?
Once symmetry is addressed, the next question becomes:
How far forward should the chin go?
Too little—and the imbalance remains.
Too much—and the result looks artificial.
The goal is always:
A chin that supports the face—not one that dominates it.
For her, we carefully designed:
- subtle forward projection
- smooth contour transitions
- a natural, feminine profile
The Material Matters: Moving Beyond Traditional PEEK
For this case, we used DMI PEEK (Direct Molecular Integration)—a next-generation evolution of traditional PEEK implants.
Standard PEEK is known for being biocompatible and inert, meaning the body tolerates it.
But tolerance is not the same as integration.
As described in the clinical concept of implant behavior :
- Traditional materials can become encapsulated by scar tissue
- This creates a microscopic interface between implant and tissue
- That interface can act as a pathway for movement, fluid, or air
The Shift: From Passive Implants to Bio-Integration
DMI PEEK represents a different philosophy.
Instead of simply placing an implant and asking the body to tolerate it, the goal is to encourage the body to integrate with it.
Two Key Advantages:
1. Skeletal Integration (Osseointegration)
- The implant is designed to allow bone to integrate with its surface
- This reduces micromovement and improves long-term stability
2. Soft Tissue Integration
- The surface supports attachment of collagen and fibroblasts
- This reduces the formation of a loose interface
The result is not just placement—it’s anchoring and biological participation.

The Outcome: More Than Symmetry
After surgery, the change wasn’t loud.
It wasn’t dramatic.
But it was undeniable.
- Her chin was centered
- Her profile was balanced
- Her jawline flowed naturally
And most importantly:
She looked like herself—just… resolved.
The Bigger Lesson in Custom Chin Implants
This case highlights something essential in chin implant surgery and facial asymmetry correction:
The goal is not to “add a chin.”
The goal is to restore balance across the entire face.
With custom chin implants, we are no longer limited to generic shapes or approximations.
We can:
- design asymmetry correction precisely
- control projection with intention
- choose materials that support long-term stability
Final Thought
She came in wanting to fix something she couldn’t ignore.
She left with something no one could quite point out—but everyone could see.
That’s the power of a well-designed custom chin implant:
Not transformation.
Not exaggeration.
Just balance—finally, exactly where it should be.


